Interventi eseguiti rispettando sempre le tue esigenze, da oltre 30 professionisti sempre al tuo fianco, prima, durante e dopo ogni trattamento.
I risultati del Protocollo Toronto
Denti fissi, naturali e sicuri in giornata, senza dolore né attese (anche se hai poco osso): grazie alla tecnologia 3D e a tecniche minimamente invasive, l’intervento è sicuro, indolore e dal recupero rapido.
Garantito per 20 anni!









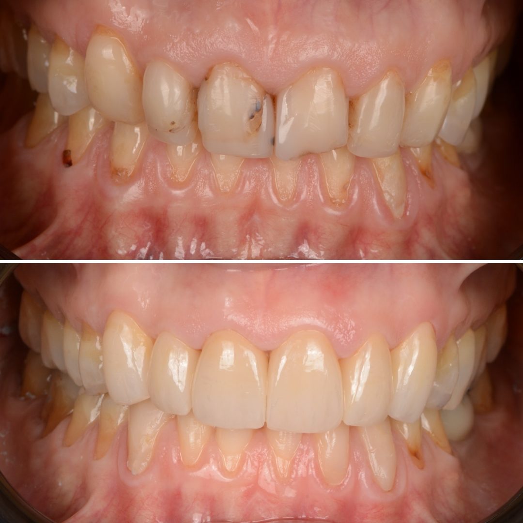
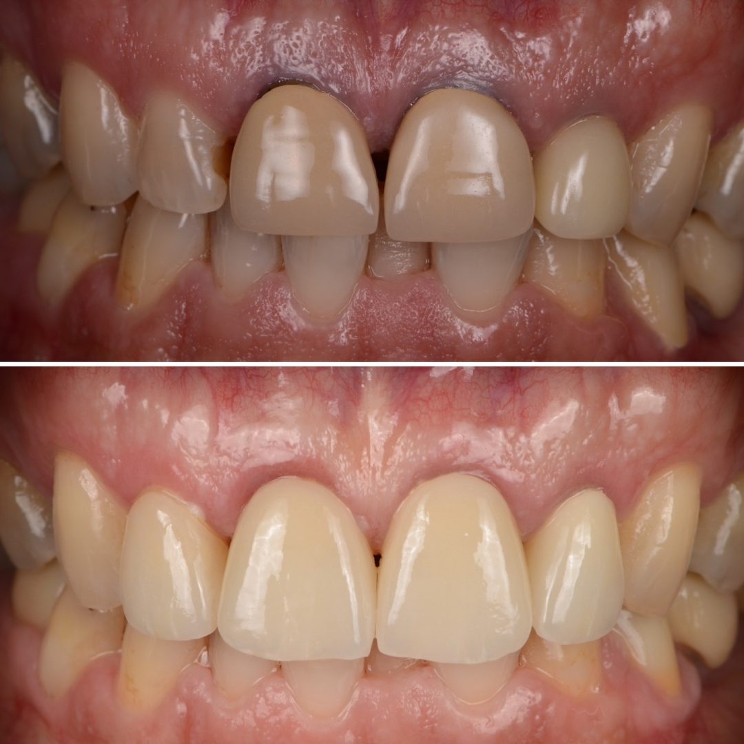
I risultati del Metodo Aura
Denti luminosi e allineati in due sedute grazie alle faccette dentali ultra-sottili: realizzate con materiali biocompatibili e resistenti, correggono discromie, imperfezioni e piccoli disallineamenti senza alterare la struttura naturale dei denti.
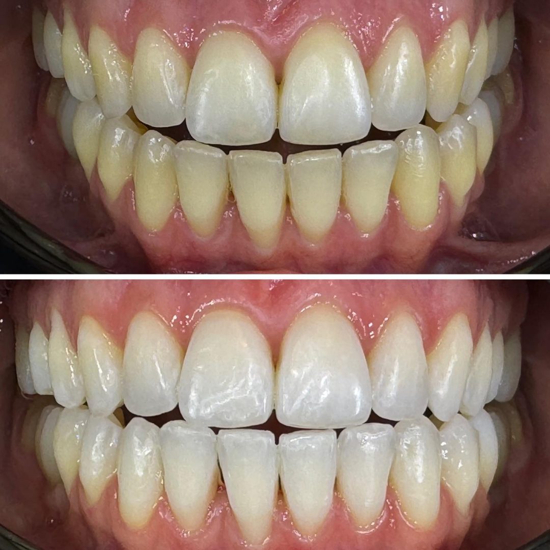
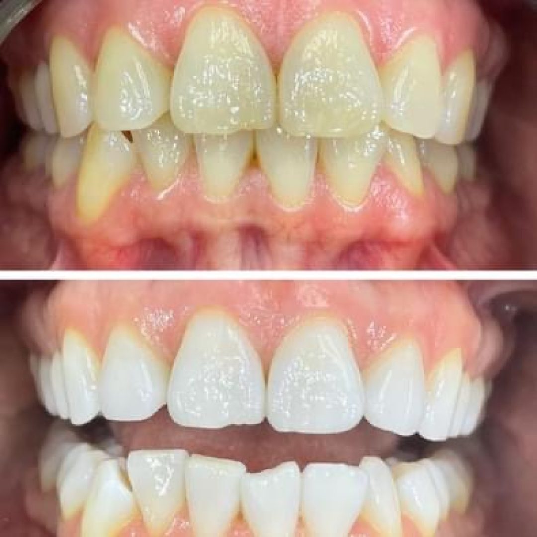
I risultati del Protocollo Kipa Smile
Il trattamento sbiancante che riaccende il tuo sorriso in poche sedute e senza fastidi.
Grazie a una combinazione esclusiva di tecnologie avanzate e trattamenti sbiancanti personalizzati, KIPA SMILE ti regala denti più luminosi e un sorriso dall’effetto anti-age, senza rinunce.

Denti fissi e naturali in 24 ore, senza dolore né attese (anche se hai poco osso).

Denti luminosi e allineati in due sedute grazie alle faccette dentali ultra-sottili.

Il trattamento sbiancante che riaccende il tuo sorriso e senza fastidi.

Addio ansia, benvenuto sorriso: trattamenti senza stress, in totale comfort.
Prendi subito contatto con noi
La nostra equipe medica, sempre al tuo fianco, prima, durante e dopo ogni trattamento.
Ambienti igienizzati e personale altamente qualificato per garantire la massima qualità in totale sicurezza.
Denti fissi, naturali e sicuri in 24 ore, senza dolore né attese (anche se hai poco osso).
Denti luminosi e allineati in due sedute grazie alle faccette dentali ultra-sottili.
Il trattamento sbiancante che riaccende il tuo sorriso in poche sedute e senza fastidi.
Addio ansia, benvenuto sorriso: trattamenti senza stress, in totale comfort.
Hai un problema specifico?
Noi abbiamo la soluzione.
Hai bisogno di cure dentali ma non sai da dove iniziare?
Scopri tutto sulla nostra prima visita: accoglienza, ascolto e diagnosi avanzata in un’unica seduta completa e senza stress.